“FUMEAZA SANATOS” este sloganul unor producatori de tigari electronice.
Ei bine, acest fumat sanatos nu este, deloc sanatos sau sigur, daca este sa analizam postarea recenta a unui medic pneumolog.
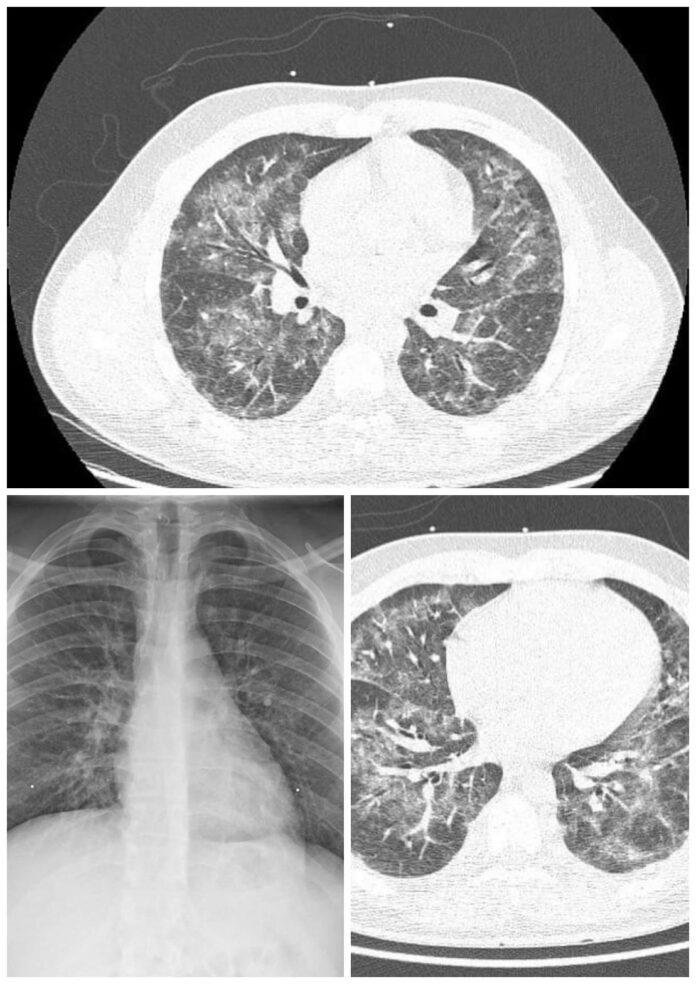
“Bună dimineața la cafeluță și la țigară electronică.
Ăștia sunt plămânii unui tip în vârstă de 20 de ani, care fumează țigară electronică. A ajuns la spital cu dureri și cu senzația de sufocare.
Boala este una relativ nouă și se numește EVALI, adică E-cigarette or Vaping Product, Use Associated Lung Injury. Adică leziuni pulmonare provocate de substanțele din țigările electronice și din lichidele pentru vaping. Se și moare din cauza lor.
Deci când vă mai spune cineva de la IQOS sau Glo că țigările electronice sunt sănătoase, să-i arătați pozele astea și să-i spuneți să plimbe ursul. La fel și când vedeți firme sau site-uri unde scrie “fumează sănătos”.
Nu există fumat sănătos.
Și mai dramatic este că țigările electronice sunt foarte populare printre minori. Industria tutunului știe asta și se bucură. E tot ce-și dorește: cât mai mulți dependenți de nicotină, care să o îmbogățească și mai mult.
PS: cele mai vehemente reacții la postarea asta sunt de la fumătorii care încearcă să se convingă că e bine să fumezi sau de la vânzătorii de țigări electronice. Realitatea e fix asta din imagini.
PPS: Presimt, din experiență, că o să dau multe block-uri.”, a dezvaluit medicul.












